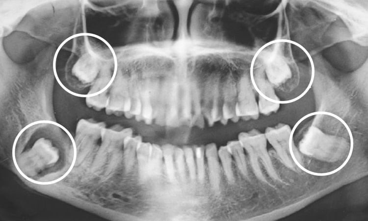
사랑니 안나는 사람이 있나요?

당신은
7프로가
아닙니다
단지
숨어있을뿐....






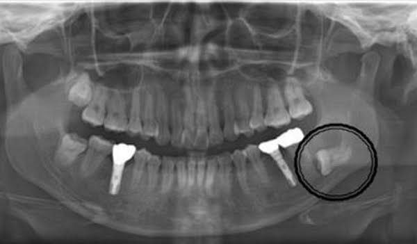
안아프면안뽑아도 되는데 이왕뽑을거면
일찍뽑는게좋대...
'K-직장인' 카테고리의 다른 글
| 아침에 물로만 세수해도 안 미끌거리는 사람이 있다고 (0) | 2024.11.11 |
|---|---|
| 돈 잘 모으는 사람들 특징 (1) | 2024.11.11 |
| 취미가 없는 사람의 취미 (1) | 2024.11.08 |
| 돈을 빌려주고 하면 안되는 행동 (0) | 2024.11.07 |
| 오늘자 연금복권 당첨번호 (0) | 2024.11.07 |





